病気のはなし
尾道市立市民病院における、整形外科の病気のはなしをご紹介いたします。
(2024年8月現在)
| 1.関節疾患 |
|
肩腱板断裂 腱板は上腕骨骨頭に付着し、上肢を挙上させる重要な腱です。50歳を超えると腱板に変性が生じてきますので、わずかな外傷でも断裂することがあります。一般的には保存的に治療を行いますが、痛みが持続し肩関節の機能が障害されますと手術を行います。 手術は関節鏡を用いて腱板を修復します。手術後に強い負荷がかかりますと、修復した腱板が再度断裂することがありますので、手術後は慎重なリハビリテーションが必要です。
 鏡視下腱板修復術 修復前 鏡視下腱板修復術 修復後
変形性肩関節症 肩関節の軟骨がすり減って関節が変形してきます。変形が進行しますと強い痛みや肩関節の運動制限が生じてきます。腱板が断裂していない変形性肩関節症と腱板が断裂している変形性肩関節症があり、それぞれに応じて治療法を選択します。

解剖学的人工関節置換術 反転型人工関節置換術
変形性膝関節症 比較的若い人のO脚変形で、関節症変化が少ない場合には脛骨を楔状に骨切りしてつなぎ合わせる高位脛骨骨切り術を行います。膝の内側が主な変形性関節症では単顆人工膝関節置換術を行います。関節症変化が膝全体に及んでいる場合には全人工膝関節置換術を行います。
 高位脛骨骨切り術 単顆人工膝関節置換術 全人工膝関節置換術
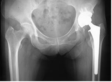
変形性股関節症 股関節の軟骨がすり減って関節が変形しますと、痛みにより歩行が困難となり日常生活に支障が生じます。人工股関節置換術は、術後の脱臼の危険性も少なく術後数日より離床、歩行が可能となります。

|
| 2.脊椎疾患 |
|
腰部脊柱管狭窄症 腰椎の脊柱管が狭窄することで殿部から足にかけての痛みやしびれ、それに伴う間歇性跛行が生じます。一般的には薬やブロック注射で治療しますが、改善が得られない場合に手術を行います。手術は小さな皮切で顕微鏡を用いて脊柱管を拡大します。変性すべり症を伴い脊椎の不安定性が高度な場合でも、小さな皮切での脊柱管の拡大と椎体間固定を行っております。

顕微鏡を用いた脊柱管拡大術 腰椎椎体後方固定術
頚椎症、頚椎後縦靱帯骨化症 頚椎の脊柱管が狭窄することで四肢にしびれが生じます。進行すると手指の細かい運動が困難になり、歩行も不安定になってきます。また、自分で腕を拳上できない(頚椎症性筋萎縮症)場合もあります。椎弓形成術で脊柱管を拡大しますが、必要な場合には顕微鏡を用いて神経根の除圧を行います。

顕微鏡を用いた椎間孔拡大術(矢印:神経根) |
| 3.手の外科 |
|
手根管症候群 手根管とよばれる部位で正中神経が靭帯により圧迫されて母指〜環指の母指側にしびれが生じます。夜間に痛みが増強するのが特徴です。頻度では中年の女性によくみられる特発性手根管症候群が多いですが、透析、関節リウマチ、手首の骨折でも生じます。進行しますと母指の付け根の筋肉がやせてつまみ動作が困難になります。早い段階であれば内視鏡を用いて手根管を開放する鏡視下手根管開放術を行います。
鏡視下手根管開放術 靭帯切離前 鏡視下手根管開放術 靭帯切離後
腱鞘炎 腱鞘炎には指の付け根(手掌側)で生じるばね指と手首で生じるドケルバン病があります。どちらも指を動かす腱が腱鞘炎といわれるトンネルの中で圧迫されることで起こります。手をよく使う人に多くみられますが、女性ホルモンの関与が指摘されておりますので、男性より女性、特に更年期の女性に多くみられます。手を休めることが必要で、痛みが強い場合には腱鞘内にステロイド注射を行うこともあります。このような保存的治療を行うも症状が改善しない場合には局所麻酔で腱鞘を切開します。

腱鞘炎(日本整形外科学会HPより) |
| 4.高齢者の脊椎椎体(圧迫)骨折について |
|
脊椎椎体が骨折しますと一般的には背中が痛みますが、痛みを自覚しない場合もあり、「いつのまにか骨折」ともよばれています。骨折した椎体がつぶれてきますと、背が縮んだり背中が曲がったりします。背中が曲がりますと胃のあたりが圧迫されますので、腹部膨満による食欲減退や食べたものが喉につかえるなどの胸焼け症状を自覚することがあります。
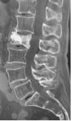
骨粗鬆症がベースにありますので、脊椎椎体骨折が一度起こりますとしっかりと治療をしていない、または医療機関を受診せずに自分で様子を見ていた場合には、別の脊椎椎体が次々と骨折することがあります。これは骨折ドミノとも呼ばれております。
脊椎椎体骨折の治療の目的は、痛みを軽減させること、身体機能を回復させること、潰れてしまった椎体を骨折前の形に近づけ椎体を安定させること、将来の椎体骨折と脊柱変形の進行を予防することです。
治療は原則保存的に行います。痛みが強い時はベッドで安静にしながら痛み止めを内服し、コルセット装着後は痛みに応じて少しずつ動いて頂きます。そして骨粗鬆症の薬物療法を早期より開始します。
ただし、保存的治療で良好な結果が得られない骨折では手術を検討します。骨折した椎体内に骨セメントを充填する経皮的椎体形成術はきわめて侵襲の少ない手術です。全身麻酔でうつぶせになった状態でレントゲン透視装置を用いて行います。背中に2ヶ所小さな切開を加え、骨折した椎体に細い経路を作ります。そこへ小さな風船のついた器具を挿入し、椎体の中に入れた風船を徐々に膨らませ、つぶれた骨を持ち上げて、できる限り骨折前の形に戻します。風船を抜くと椎体内に空間ができますので、その空間の中に骨セメントを充填します。骨セメントは手術中に固まります。麻酔時間を含め、1時間程度で手術が終わります。

骨折ドミノ CT

経皮的椎体形成術のシェーマ |
